- ホーム
- 診療科・部門のご案内
- 脊椎・側弯症センター
- 代表的手術
脊椎・側弯症センター
代表的手術
後方椎間板摘出術、顕微鏡下椎間板摘出術、内視鏡下椎間板切除術(MED、FED)
対象となる疾患は、腰椎椎間板ヘルニア、腰部脊柱管狭窄症、腰椎変性すべり症などです。
せなかを切開して、椎間板ヘルニアを切除します。内視鏡下に行う場合には、8mm〜2cm程度の切開で小さい筒からカメラを挿入して手術を行います。原則、手術翌日より軟性のコルセットを装着し、起立・歩行を開始します。

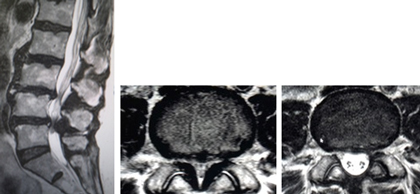
(左)術前MRI 第4/5腰椎に椎間板ヘルニアを認めます。(中)内視鏡下(MED)にヘルニアを摘出しました。(右)術後MRI 第4/5腰椎の椎間板ヘルニアが消失しています。
棘突起縦割式椎弓形成(切除)術
内視鏡下椎弓形成(切除)術(MEL)、全内視鏡下脊椎手術(FESS)
対象となる疾患は、腰椎椎間板ヘルニア、腰部脊柱管狭窄症、腰椎変性すべり症などです。
せなかを切開して、神経の圧迫因子となっている椎弓や黄色靭帯などを切除します。棘突起を縦割する方法と内視鏡下に行う方法があります。いずれも腰の筋肉を温存することを目的とした低侵襲手術です。原則、手術翌日より軟性のコルセットを装着し、起立・歩行を開始します。

(左、中)術前のMRIでは特に第4/5椎間で脊柱管の高度な狭窄を認めています。(右)棘突起縦割式椎弓形成(切除)術を施行し、脊柱管は著明に拡大し神経症状の改善を認めています。
腰椎椎体間固定術(PLIF、TLIF、MIS-TLIF、KLIF、PETLIF)
対象となる疾患は、腰椎椎間板ヘルニア、腰部脊柱管狭窄症、腰椎変性すべり症、腰椎変性側弯症、腰椎後弯症、腰椎分離(すべり)症の一部などです。
通常の切開方法と低侵襲な切開方法があります。近年は、内視鏡や低侵襲手技を用いた椎体間固定術(MIS-TLIF、KLIF、PETLIFなど)が可能となっております。当院では、個々の病態によって術式を判断しております。原則、手術翌日より硬性のコルセットを装着し、起立・歩行を開始します。

第4腰椎に前屈時に増強するすべりを認め不安定性を示しています。

MIS-TLIF(低侵襲腰椎後方椎体間固定術) 椎間板にケージと言われるスペーサーが挿入され、また経皮的に椎弓根スクリューの挿入とロッドの連結がなされ、第4腰椎のすべりが矯正され固定されています。
側方経路腰椎椎体間固定術(LLIF)
対象となる疾患は、腰椎椎間板ヘルニア、腰部脊柱管狭窄症、腰椎変性すべり症、一部の腰椎分離すべり症、腰椎変性側弯症、腰椎後弯症などです。原則、手術翌日より硬性のコルセットを装着し、起立・歩行を開始します。
LLIFは、日本では2013年から承認され実施されており、普及しつつある低侵襲な手術法です。XLIF(エックスリフ)は全国でも限られた医師と医療機関でのみ実施されています。当院では、実施許可を取得した医師により施行され、多くの実績があります。類似した術式にOLIF(オーリフ)などもあります。手術では側腹部に約4cmの傷で手術を実施します。この手技の利点は、関節除圧と言って神経を直接触らないで神経を圧迫から解除できることや、大きな椎間スペーサーを挿入することによる変形の矯正や安定したサポートを得られることです。

第4腰椎に著明なすべりを認め、重度の狭窄を認めます。

側方経路腰椎椎体間固定術(LLIF) 椎間板に大きなスペーサーが挿入され、また経皮的に椎弓根スクリューの挿入とロッドの連結がなされ、第4腰椎のすべりが矯正され固定されています。
分離部修復術
腰椎分離症に対する手術は主に2つで、分離部修復術と椎体間固定術があります。椎間板の傷みがないもしくはあってもごく軽度か、20歳代までには適応となります。せなかを切開し、瘢痕組織や滑膜組織などの存在する分離部をきれいにして、自家骨(腸骨など)や人工骨などを移植します。移植した骨がしっかりつくように、スクリューやフックなどを用いて、分離部を圧着します。原則、手術翌日より硬性のコルセットを装着し、起立・歩行を開始します。十分に骨癒合が得られれば、後にインプラントを抜去しますが、必ずしも抜去しないこともあります。

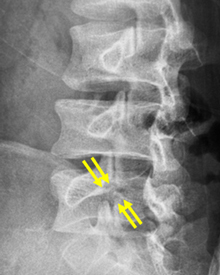
矢印が分離部で骨が離れています。

分離部に骨が移植され骨癒合が
得られています。