- ホーム
- 診療科・部門のご案内
- 脊椎・側弯症センター
- 代表的手術
脊椎・側弯症センター
代表的手術
頚椎椎弓形成術
対象となる疾患は、頚椎症性脊髄症、頚椎後縦靭帯骨化症、頚椎椎間板ヘルニア、脊椎腫瘍などです。後方から椎弓を開いたり削除したりして、脊髄を後方にシフトさせることで除圧します。頚椎症性神経根症では、障害されている神経根の部分のみ骨を削ることもあります。
片開き式脊柱管拡大術
頚椎椎弓形成術の代表的な手術法に、片開き式脊柱管拡大術があります。ご高齢の方に対しても、安全で安定した成績が報告されている優れた術式です。手術は首の後ろを切開して、椎弓の両側に骨の溝を掘り、扉を開くように脊柱管を拡大します。開いた椎弓は再度閉じないように糸で固定したり、金属性のプレートで固定します。通常、手術翌日より座位や歩行訓練を行います。手術後のカラーは、病態により装着を考慮します。

(左)術前のMRIでは、全体的に脊柱管内の狭窄があります。(中)片開き式脊柱管拡大術を施行し、金属性のプレートで椎弓を固定しています。(右)手術により脊柱管が拡大され、神経症状が改善しています。
頚椎前方固定術
対象となる疾患は、頚椎症性脊髄症、頚椎症性神経根症、頚椎後縦靭帯骨化症、頚椎椎間板ヘルニア、脊椎・脊髄腫瘍などです。前方から圧迫因子となっている椎間板や骨を取り除き、代わりに腸骨などの自家骨や人工骨、もしくはスペーサーなどを挿入して、障害部位の可動性を止めることで神経症状の改善が見込まれます。前方からの圧迫因子が大きい場合、不安定性がある場合、後弯と言って骨の並びが後ろに弯曲している場合には有効な手術法となります。近年では、金属製のプレートとスクリューなどで早期離床が可能となっており、通常、手術翌日より座位や歩行訓練を行います。術後は、頚部を固定する装具を約1−3カ月装着します。

手術前のMRIでは、第6/7椎間の椎間板が脊柱管へ飛び出し、脊髄を強く圧迫しています。

手術により、飛び出した椎間板を前方から摘出し、人工スペーサーと金属製のプレートなどで上下の骨を固定しました。術後、神経症状は著明に改善し、MRIでも脊髄の圧迫が解除されています。
後縦靭帯骨化症 骨化巣摘出・浮上術
後縦靭帯骨化症で骨化巣が大きい場合に、有効な術式となります。後縦靭帯骨化症では、骨化巣が神経の膜と連続していることがあり、剥離は困難なことがあります。摘出が困難な場合には、骨化巣を浮上させて神経症状の改善をはかる方法もあります。
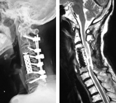
頚椎後方除圧固定術
対象となる疾患は、頚椎症性脊髄症、頚椎後縦靭帯骨化症、頚椎椎間板ヘルニア、脊椎腫瘍などです。頚椎後方除圧固定術は、頚椎の後方からアプローチして、圧迫因子となっている骨や靭帯を削除したり、金属製のスクリューなどで頚椎を固定する手術法です。頚椎に不安定性があったり、後弯と言って骨の並びが後ろに弯曲している場合などで有効な手術法となります。通常、手術翌日より座位や歩行訓練を行います。術後は、頚部を固定する装具を約1−3カ月装着します。

手術前のCTおよびMRIでは、椎体の後ろにある骨化した後縦靭帯が脊柱管内に大きく占拠し、脊髄を強く圧迫しています。

前方から椎体切除および骨化巣の浮上術を行い、代わりに金属製のケージを設置しました。非常に高度な狭窄であったため、後方からも除圧を追加し、頚椎のカーブを維持するためにスクリューとロッドによる固定を行いました。術後、神経症状は著明に改善しています。
頚椎人工椎間板置換術
頚椎人工椎間板置換術は、平成29(2017)年に本邦で承認された比較的新しい手術方法です。従来の前方除圧固定術では、罹患椎間での神経圧迫を取り除き、障害部位の可動性を止めることで神経症状の改善が見込まれます。一方で、椎間本来の可動性が失われるデメリットもありました。人工椎間板では、この運動機能を温存できるメリットがあります。国外では10年以上前からおこなわれており、その安定した長期成績が報告されています。手術後は原則コルセットの装着は必要ありません。


脊髄腫瘍摘出術
対象となる疾患は、脊髄や神経もしくは周囲にできた腫瘍、あるいは血管奇形などです。大きさや腫瘍の種類にもよりますが、基本的に放置すると増大して脊髄の圧迫は進行するので摘出術を考慮します。直接神経組織を触る手術になりますので、術後は多かれ少なかれ神経のダメージによる手足の麻痺が出ますが、当院では神経のダメージを最小限に抑えるため、最新の顕微鏡や特殊なモニタリング装置を用いて手術を行っています。

先天性斜傾、遺残例に対する胸鎖乳頭筋腱切術
出生後まもなく首が傾いてしまう先天性斜傾という疾患があります。日本では乳幼児検診でほとんどが診断されていますが、まれに成人期まで放置されたり、一部の国々などでは適切な診療が受けられないこともあります。先天性斜傾の多くは1-2歳頃までに自然治癒しますが、斜傾が改善しない場合は手術治療を考慮します。当院では、学童期や成人期においても適応に応じて胸鎖乳頭筋腱切術を施行し、良好な結果を得ています。

