脳神経外科
脳血管障害
動脈瘤コイル塞栓術
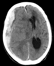
60代女性、脳動脈瘤破裂によるくも膜下出血
意識障害にて発症し、救急車にて来院。

写真左:頭部CTにてくも膜下出血を認める(矢印)。
写真右:3DCTAngiographyにて脳底動脈に長径10mmの動脈瘤を認める(矢印)。
脳動脈瘤コイル塞栓術を施行。

①脳底動脈に長径10㎜の動脈瘤を認める(矢印)。
②カテーテル(細い管)から動脈瘤にコイル(細い金属)を挿入する(矢印)。
③動脈瘤に血液が流れ込まないように動脈瘤内にコイルを挿入。
④動脈瘤内に血液が流れ込まないようにして、再度動脈瘤から出血をすることを予防する。
頸動脈ステント留置術
60代男性、右内頸動脈狭窄症
健康診断にて右内頸動脈狭窄症を指摘されて来院。

MRAにて右総頸動脈から内頸動脈に高度狭窄を認める(矢印)。
頸部エコーにて血管内腔の狭窄を認める。カラー部分が血液が流れている。
右内頸動脈狭窄症に対して局所麻酔下に頸動脈ステント留置術を施行。手術時間は約30分。

①手術前:右総頸動脈から内頸動脈にかけて高度狭窄を認める(矢印)。
②手術後:右総頸動脈から内頸動脈にステント(金属の筒)が留置され、血管が拡張している(矢印)。
③手術後(骨付き)
血栓回収療法
97歳女性、脳主幹動脈閉塞による脳梗塞
意識障害、右半身麻痺にて発症し、救急車にて来院。

3DCTAngiographyにて左内頸動脈閉塞を認める(矢印)。
血栓回収療法を施行

①左内頸動脈が閉塞している(矢印)。
②ステント型血栓回収機器を用いて血栓を回収(矢印)。
③血管が再開通している
④ステント型血栓回収機器と回収された血栓

MRIにて脳梗塞は小さい範囲となっていることを確認。
術直後より意識清明となり、麻痺は改善した。
良性の腫瘍
髄膜腫(特に頭蓋底部)
65歳男性、頭蓋底部巨大髄膜腫、外科手術のみ


神経鞘腫(しょうしゅ)
38歳女性、左三叉神経鞘腫、外科治療のみ

頭部外傷の治療
頭蓋骨骨折
頭に外力が加わり、頭の骨が折れると頭蓋骨骨折となります。陥没骨折(頭蓋骨が折れて凹む状態)によって、脳への圧迫を認める場合や頭蓋骨の外と内が開放して感染の危険がある場合は手術が必要となります。

急性硬膜外血種
頭蓋骨と硬膜の間にできた血種を急性硬膜外血種といいます。主な出血源は、頭蓋骨骨折によって損傷された中硬膜動脈や骨折部の骨であり、多くの場合、頭蓋骨骨折を伴い外力を受けた直下に生じます。
一時的に意識がはっきりした後に意識障害を認めることが多く、頭痛や嘔吐、瞳孔不同(左右の瞳孔の大きさが異なる状態)や運動麻痺をみることもあります。
基本的には手術によって血腫を除去します。意識障害が軽度な場合は、手術をせずに保存的に治療することもあります。外傷による頭蓋内出血のなかでは、最も予後(経過)はよいといわれています。

急性硬膜下血種
血腫が硬膜と脳の間に生じるもので、大脳表面の血管や架橋静脈(硬膜と脳の間を走る静脈)の損傷で出血がおこります。脳挫傷を合併していることも少なくありません。外傷性頭蓋内出血の中に占める割合は最も大きく、その多くは頭蓋骨骨折を伴わず外力の反対側に生じます。
症状としてみられるのは、頭部外傷の直後からの意識障害や、けいれん・片麻痺などで、基本的には手術によって血腫を除去します。術後もICUにて神経集中治療を要することが多く、予後(経過)は概してよくありません。

脳挫傷
血腫が脳実質内にできるもので、脳実質や脳実質内血管の損傷によって生じます。主に、前頭葉や側頭葉にみられますが、軽症例では頭痛や軽度の意識障害を認めます。
中等症以上では、運動麻痺や失語症(言葉が理解できなかったり、話せない症状)などの症状や重度の意識障害がみられ、重症例になると、手術による除去が必要になります。
一般的に生命予後はよいのですが、運動麻痺や言語障害などの後遺症を残すことが少なくありません。

慢性硬膜下血腫
頭部外傷後、1〜3か月して徐々に硬膜と脳の間に血腫の貯留をみるものです。頭痛や軽い運動麻痺をもって発症します。
高齢者の場合は、認知症が前面に出てくることも多いようです。局所麻酔下に穿頭術を行って血腫を洗浄します。治せる認知症として注目されています。

神経集中治療
神経集中治療とは、頭部外傷をはじめとして脳梗塞やくも膜下出血などの重症脳損傷を対象とします。脳神経外科医や脳神経内科医、集中治療医などの各分野の専門医や神経疾患専門の看護スタッフ、リハビリテーションスタッフなど多職種からなるチーム医療です。
心電図や血圧などの呼吸や循環に関するモニタリングのみならず、頭蓋内圧や脳波などの神経モニタリングも用いながら、脳と全身をバランスよく管理します。診療は、各ガイドラインに沿って行われ、重症の患者様であってもできる限り良好な予後(経過)をめざします。

高齢者頭部外傷
高齢者は、脳萎縮により頭蓋骨と脳の間に広い隙間ができるので、軽い頭部への衝撃でも、その隙間に出血を生じやすいという特徴があります。また、この隙間のおかげで出血による脳への圧迫が軽いため頭部打撲の直後では症状が現れにくく、高齢者の場合、頭部打撲の直後では無症状で頭蓋内出血に気づかず、運動麻痺や意識障害を認めた後に病院へ搬送されるということがよくあります。
重症化した後に病院へ搬送されても治療の効果は期待できませんので、高齢者の場合は症状がないようにみえても、頭部打撲したらすぐに積極的に専門医を受診することをお勧めします。
高齢になると、脳梗塞や心筋梗塞など動脈硬化が原因とされる病気を持つ患者様が急増するため、多くの方が抗血栓薬(血液サラサラの薬)を服用されます。このお薬を飲んでいる患者様は、転倒のような軽度な外傷でも重症化することが多く、頭部打撲の直後に症状がなくても数時間してから症状が悪化するというパターンを示します。一部の抗血栓薬では、その中和薬(お薬の効果を抑える薬)が開発されています。抗血栓薬を飲んでいる方が頭部打撲を認めた場合は、お薬手帳を携行し重症化する前に専門医の受診をお勧めします。
Think FAST: https://thinkfast.jp/

外傷性高次脳機能障害
近年、救急医療が格段に進歩しており重症脳損傷患者の救命率は改善し、頭部外傷患者の社会復帰率は上昇しています。
しかし社会復帰された方のなかには、後遺障害として、記憶障害や注意障害、遂行機能障害といった高次脳機能障害を認める患者様が存在します。特に身体障害の軽い患者様においては、外見からは高次脳機能障害の存在がわかりにくく周囲の人々からの理解や支援を得ることが困難で、しばしば社会的孤立状態となることがあります。また、急性期医療機関における高次脳機能障害への認識不足も重要な課題となっており、急性期医療スタッフが、高次脳機能障害に関する認識が不十分なため、後遺症認定や障害者手帳・障害者年金の取得などに至っていない事例も多いようです。
当科においては、頭部外傷の患者様を急性期から慢性期まで一貫して診療し、外傷性高次脳機能障害の早期発見に努め、高次脳機能障害患者が安定して社会生活を営むことができるようにサポートいたします。
ご予約・お問い合わせ
●一般診療のご予約・変更(予約センター)
TEL:0476-35-5576
(月曜日~土曜日 8:30~17:30 ※祝日は除く)
●その他のお問い合わせ
TEL:0476-35-5600(代表)