- ホーム
- 診療科・部門のご案内
- 小児外科 診療科・部門のご案内
小児外科
「舌小帯短縮症/上唇小帯短縮症」と「リンパ管種」についてはこちらから
小児のあらゆる外科疾患(心臓、脳神経、骨以外)に対応します。
ご挨拶

小児外科部長
国際医療福祉大学医学部小児外科学教授(代表)
渕本 康史
国際医療福祉大学小児外科へのホームページを訪問していただき、ありがとうございます。
小児外科は新生児から16歳未満の心臓・脳神経外科以外の外科疾患の治療を行っております。一般的には鼠経ヘルニア(脱腸)、停留精巣、臍ヘルニア、虫垂炎などの治療が多いです。より専門的な疾患として①頭頸部の種々の先天性瘻孔、②漏斗胸、鳩胸などの胸壁疾患、③肺、気管などの先天性呼吸器疾患、④胃、小腸、肝臓、大腸などの消化器疾患、⑤腎臓、膀胱、尿道、精巣、子宮、卵巣、膣などの泌尿器生殖器疾患を対象として治療を行っております。
子どもは成長・発達する存在であり、特有の身体的、生理学的特徴を持ち合わせております。
私たちは子どもの特性を常に念頭におき、子どもの成長発達を考慮して、高い技量を的確に手術を行う必要があります。生命を救うだけでなく、将来の生活の質(QOL)の向上を考慮した患者さん一人一人に適したテーラーメイド型の治療を心がけていきたいと思っています。また、地域医療との連携が、大学病院診療科においても重要なポイントであります。当教室においては、外来診療日以外でも対応が必要な患者さまを受け入れることはもちろんのこと、急患は24時間対応できる体制で地域医療との連携を図っていきます。
診療科の紹介・特長
小児外科疾患の幅広い経験を持つ医師
当科は、新生児から15才まで小児における外科的疾患(循環器系、脳神経系、整形外科を除く)に対する診療を担当しています。成人で扱う疾患といえば、多くは「悪性疾患」や「循環器系疾患」ですが、小児外科の扱う疾患の領域は多岐に渡り、その多くが希少疾患です。当科では、東京都立小児総合医療センターや国立成育医療研究センターなどの日本を代表する小児のhigh volume centerで実績を積み、あらゆる小児外科疾患に精通する専門医・指導医が責任をもって治療にあたります。
子供たちに負担をより軽くできるように
手術をすること自体が、子供たちやご家族には大きな身体的・精神的ストレスとなります。そういった負担を少しでも軽くできるよう、日々新しい知見を取り入れ、常に時代のニーズに合った最善の治療を目指します。手術創をより小さくする「低侵襲治療」を念頭に、様々な疾患で積極的に腹腔鏡手術を行っています。
地域密着型の医療の提供
当科は千葉県北東部で唯一の小児外科施設となります。手術や入院、通院する子供たちとご家族の負担をなるべく減らせるよう、近隣のクリニックや総合病院小児科と連携して治療を行います。地域のかかりつけ医としての役割を担います。
子供を取り巻くすべての方々と共に~より良い小児医療を~
院内においては、小児科をはじめ、各科の医師とスムーズに連携し子供の病気を総合的に診療できるシステムが構築されています。また、近隣小児科とも密に連携しながら、24時間・365日、いつでも迅速に対応するよう心掛けております。
主な対象疾患
頻度の多い一般的な疾患
鼠径ヘルニア(脱腸)、臍ヘルニア、陰嚢・精索・ヌック管水腫、停留精巣、移動性精巣、急性虫垂炎、腸重積、肥厚性幽門狭窄症、肛門周囲膿瘍(痔瘻)、便秘など
救急疾患
異物誤飲(ボタン電池、磁石など)、外傷、熱傷、急性腹症、急性陰嚢症
新生児疾患
食道閉鎖症、横隔膜ヘルニア、腸閉鎖症、腸回転異常、新生児胃破裂、直腸肛門奇形(鎖肛)、ヒルシュスプルング病、胎便性腹膜炎、総排泄腔異常、腹壁破裂、臍帯ヘルニア、仙尾部奇形腫など
乳児期以降にみられる疾患
食道狭窄症、食道アカラシア、先天性嚢胞性肺疾患、胃食道逆流症、メッケル憩室、大腸ポリープ、消化管重複症、炎症性腸疾患(潰瘍性大腸炎、クローン病)、胆道閉鎖症、胆道拡張症、気胸、漏斗胸、包茎、陰唇癒合、尿膜管遺残、尿道下裂、膀胱尿管逆流症、頸部瘻孔など
小児腫瘍
リンパ管腫、血管腫、卵巣嚢腫、Wilms腫瘍、肝芽腫、神経芽腫、奇形腫、精巣・卵巣悪性腫瘍、横紋筋肉腫、乳腺腫瘍など(悪性腫瘍に関しては強力な化学療法が必要なので現在体制を整備中です。リンパ管腫、血管腫の経験は豊富で、現在治療可能です。)
頻度の多い疾患に対する当科での取り組み
1.鼠径ヘルニア ~LPEC法の導入~
お腹の中にある臓器 (小腸や大腸、女児であれば卵巣や卵管)が飛び出して、鼠径部 (足の付け根)や陰嚢部が腫れたり萎んだりするのが繰り返される病気です。珍しい疾患ではなく、子供の1~5%に発生すると言われています。生後4ヶ月頃となると自然治癒する可能性が少ないため、原則的に手術を行う方針としています。また、4ヶ月未満であっても嵌頓 (飛び出した腸がはまり込んで元の位置に戻らなくなり、はまり込んだ腸の血の巡りが悪くなってしまう状態)が起こってしまった場合などは、早期に手術を行うこともあります。
当科では、従来の手術方法 (従来法)に加え、性別に関係なく積極的に腹腔鏡手術 (LPEC法)を取り入れております。従来法でも、鼠径部の創は1。5cm程度と小さく、全く目立ちません。腹腔鏡手術の創は5mm程度でさらに小さく、身体への負担も非常に少ないです。
また、陰嚢水腫などに対しても積極的に腹腔鏡手術を取り入れており、良好な成績をおさめています。




2.臍ヘルニア・臍突出症
生まれて間もない時期には、まだおヘソの真下の筋肉が完全に閉じていないため、泣いたりいきんだりして、お腹に圧力がかかった時に、腹筋のスキマから腸が脱出して、ヘソの皮膚が飛び出してくる状態を臍ヘルニアといいます。2歳までには何もしなくても9割前後が自然治癒すると言われていますが、治癒しなかった場合や皮膚が緩んでヘソが飛びだしたままになっている場合は手術が必要となります。
当科では、ヘソに小ガーゼ球を挿入して絆創膏で固定を行う圧迫療法を推奨しています。これにより、自然経過よりも短期間に、95%以上の治癒率を期待でき、皮膚の緩みも少なくすることができ、良好な成績をおさめています。

また、1歳半頃までにヘルニア門が閉鎖しない場合や、閉鎖後も余剰皮膚が残って目立ってしまう場合(臍突出症)は、できるだけ綺麗なお臍を目指して手術による臍形成術も積極的に行っております。

3.急性虫垂炎
大腸の一番口側にある盲腸の先についている虫垂に最近の感染を起こした状態です。頻度としては小・中学生に多くみられます。症状は右下腹部痛が有名ですが、症状の出方は様々です。
抗生剤の内服や点滴での治療で終わることもありますが、最終的には手術が必要になることが多く、症状によっては緊急手術を必要とすることもあります。当科では腹腔鏡手術を積極的に取り入れており、症例によってはヘソの創のみで手術を行う単孔式腹腔鏡手術も行っています。さらに、腹腔内にガスの注入(気腹)をせずにヘソの創部から虫垂を引き出して虫垂切除を行う『吊り上げ単孔式腹腔鏡手術』という、最も負担の少ない手術も積極的に行っています。

4.漏斗胸
胸骨下部を中心とした胸部の陥凹を示す疾患です。原因は不明とされていますが、肋軟骨という部分が過剰に成長してしまうことで起こるとも言われています。胸郭の変形は自然に改善することは少なく、年齢とともに変形が進んでしまうこともあります。心臓や肺の圧迫の影響で胸痛や労作後の呼吸器症状などを呈することもあります。また整容面を気にして内向的になるとの報告もあります。以上の事項を総合的に考慮して、十分に説明をした上で治療を選択いたします。
手術としては、Nuss(ナス)手術という低侵襲な手法がひろく行われており、当院でもその方法を採用しています。左右の腋窩に3cm程度の切開を加え、そこから細長い金属のバーを挿入して胸骨の裏に沿って留置するという方法です。バーは2~3年間留置したのちに抜去します。また、術後の疼痛に対しても硬膜外麻酔チューブや患者管理鎮痛法(PCA)など麻酔科と議論しながら積極的に疼痛管理を行っております。また、年少児の漏斗胸に対しては、バーの挿入をせずに変形した肋軟骨を切除するラビッチ法を取り入れています。




5.泌尿器疾患
小児泌尿器疾患のうち、停留精巣、包茎、水腎症、尿失禁、膀胱尿管逆流、尿道下裂なども積極的に治療しております。
停留精巣は生まれつき精巣が鼠径部(太腿の付け根)や腹腔内に位置する異常です。乳児検診などで見つかることが多い疾患ですが、陰嚢内に固定する手術をしないと将来的に男性不妊の原因となります。当科では、高位型の停留精巣に対しては積極的に腹腔鏡補助下手術を採用し、陰嚢底部に緊張なく固定する方針としています。
尿失禁・夜尿症は頻度の高い疾患ですが、中には先天的におしっこの通り道に狭いところがあり(先天性尿道狭窄)、通過障害のために膀胱に過度に圧がかかる過活動膀胱の状態であることがあります。必要があれば膀胱鏡検査を行い、狭いところを切開する治療を積極的に行っています。


尿道下裂は尿の出口が陰茎の先端(亀頭先端)までとどかずその手前に開口する異常です。亀頭部手前のくびれあたりから、高度になると陰茎根部や陰嚢に出口がある場合があります。陰茎が下向きに屈曲した形となるため、幼児・学童期では立位排尿ができない、成人期では勃起時に陰茎が下向きに曲がって性行為が困難になる場合があります。
小児泌尿器疾患の中でも非常に繊細で難度の高い手術が必要であり、術後も作った尿道の途中から尿が漏れる(尿道皮膚瘻)、尿道が狭くなり、おしっこが出にくくなる(尿道狭窄)などの合併症の頻度が少なくありません。経験豊富な筑波記念病院小児泌尿器科や、自治医科大学小児泌尿器科と連携して手術、術後管理を行っております。



6.舌小帯短縮症/上唇小帯短縮症
舌小帯は舌の裏側と口腔底にくっついた胎児期の遺残膜で、舌小帯短縮症では、その膜(舌小帯)が遺残したために舌の動きが制限されるため、新生児期/乳児期には哺乳に関するトラブル(浅飲み、母乳育児のみの場合に体重増加不良、乳頭痛、繰り返す乳腺炎など)、幼児期以降には、サ行、タ行、ラ行などがうまく発音できない(構音障害)やリコーダーなどの吹奏楽器がうまく吹けないなど、の症状をきたします。ひどい場合は、咀嚼・嚥下障害の症状が出現することもあります。
当科では、新生児期/乳児期から積極的に舌小帯短縮症の治療に取り組んでおり、新生児期/乳児期のお子様には1泊2日の入院で局所麻酔下に治療を行い、1歳以降のお子様には、全身麻酔下での治療を行っています(全身麻酔で治療する場合の入院期間は2泊3日です)。
特に新生児期/乳児期のお子様で、舌小帯短縮症に上唇小帯短縮症を合併している場合には、舌小帯切開だけでは症状の劇的な改善を認めないこともあるため、上唇小帯の切開も積極的に行っています(局所麻酔下に行います)。上唇小帯短縮症を疑う症状は、浅飲みや哺乳後にできた吸いダコ、乳頭痛などです。

(伊藤 泰雄著 “舌小帯短縮症”から抜粋)

(伊藤 泰雄著 “舌小帯短縮症”から抜粋)
7.リンパ管種
血管腫・脈管奇形の国際学会であるISSVA(International Society for the Study of vascular Anomalies)が提唱するISSVA分類という基準があり、国際的な標準になりつつありますが、リンパ管疾患(リンパ管に異常が生じることによっておこる疾患の総称)のうち、連続した病変で限局性のリンパ管の拡張を特徴とする疾患概念をリンパ管腫と呼んでいます。
この”リンパ管腫”では、病変範囲は拡大しないのが特徴で、性差はなく、出生時にその約半数が診断され、2歳までにその9割が発症します。頭頸部、腋窩の病変が60〜80%を占めますが、他に十画、後腹膜、腸間膜、体幹/四肢の皮下などに生じます。



診断には、視診の他、超音波検査やCT検査、MRI検査などの画像検査を組み合わせて行います。画像検査上の病変の見え方の違いから、嚢胞状や海綿状、その混合型などに分類されます。治療は、”完全切除”できる病変に対して外科手術も選択肢の一つになりますが、病変内への薬剤の注入による硬化療法が広く行われています。硬化療法の原理は、病変内に注入された薬剤が嚢胞性病変内で炎症反応を起こすことで嚢胞壁が癒着することで嚢胞が潰れて、リンパ管腫が腫れなくなるというものです。当院では、薬剤の注入時に病変内で薬剤の広がり具合をリアルタイムに確認するために血管造影に用いる造影剤を薬剤に混ぜて、硬化療法を行っています。造影剤を併用することにより大きく広がった病変や超音波検査で追跡できない深部病変への薬剤の広がりをリアルタイムに確認し、その治療効果の判定や今後の治療方針に役立てることができると考えています。
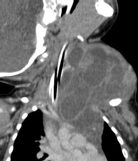
頚部リンパ管腫に対して硬化治療が奏功した一例
胎児超音波検査で頚部リンパ管腫を指摘されていた症例で、生後4か月時に病変が急速に増大して、呼吸困難で受診、外来で緊急気管挿管・緊急入院となりましたが、透視下に硬化療法を行ったところ、嚢胞性病変のほとんどが潰れて、治療後は腫れなくなり、元気に過ごしています。

圧迫して呼吸促迫になったため緊急気管挿管

(左頚部から縦隔に広がる病変)

病変内に注入し、透視で病変への広がりを
リアルタイムに確認。CT画像で指摘された
病変に一致して薬剤が広がった。

頚部の腫瘤はほとんど目立たなくなった。
高度な技術を必要とする小児外科疾患に関しまして
新生児外科や小児がん外科治療には,専門性の高いスタッフの連携が必要不可欠となります。また、高度な技術を必要とする希少疾患に対する手術などに対しては,当科部長の渕本が現在まで勤務してきた東京都立小児総合医療センター、国立成育医療研究センターならびに慶應義塾大学での経験を活かし常に先端かつ安全な治療を提供いたします。また現在でも上記の3施設とはカンファレンスや臨床研究などで密接に連携しております。特に、新生児外科疾患(先天性食道閉鎖症、先天性横隔膜ヘルニア、十二指腸閉鎖、腸閉鎖など)ならびに先天性胆道拡張症、胆道閉鎖症(葛西手術から肝移植にいたるまで)、先天性嚢胞性肺疾患、直腸肛門奇形(鎖肛)、ヒルシュスプルング病などの手術実績が豊富です。また、今後は近隣の千葉大学、筑波大学、東京女子医科大学八千代医療センターならびに千葉県こども病院などとも積極的に連携していき、最善の治療を提供させていただきたいと思っております。
代表的な研究
再生医療
小児外科部長の渕本教授は、国立成育医療研究センターと共同で、再生医療を小児外科に応用する研究を進めてきました。(「先天性食道閉鎖症術後吻合部狭窄に対する自己口腔粘膜シート移植による再狭窄予防(AMED研究)」)
これは、先天性食道閉鎖の術後の多くの場合で、切除部分をつなぎあわせた吻合部が狭くなることに対する治療法の開発です。
患者様自身の口腔粘膜から組織片を採取して、特殊な培養によって粘膜上皮細胞シートを作製します。その術部に内視鏡的にこれを移植して、狭窄を予防するというものです。こうした患者様を対象に、粘膜上皮細胞シートを移植する治療法の狭窄の予防効果と安全性を評価するために治験を行っています。

食道シート移植
【その他再生医療をテーマとした研究】
- ES細胞(胚性幹細胞)から作成した軟骨でのパッチグラフト移植
未熟児/新生児医療の進歩にともない、先天性気管狭窄症や先天性声門下狭窄症児の生存率が上昇しているが、いまだ手術リスクは高く再狭窄の問題もある。また、重篤な合併症のある児に救命のために行われた気管内挿管が長期に渡り、後天性の声門下狭窄や挿管孔閉鎖不全を来すことがある。
臨床で使用できるヒトES細胞の樹立は国内では京都大学、国立成育医療研究センターの2施設のみである。国立成育医療研究センターはヒトES細胞(SEES)由来肝細胞のヒトへの移植を世界初で行っている(https://www.amed.go.jp/news/release_20200521.html)。最近、SEES細胞を分化誘導して軟骨の分化誘導にも成功している。国立成育医療研究センターとの共同研究にて、現在ヒトES由来軟骨を用いて小児気道狭窄に対する新規治療の臨床研究をおこなうべく研究をおこなっている。

小児腫瘍免疫療法
進行神経芽腫や進行肉腫に対しては、早期から転移している症例が多く、一定の効果が確認された後でも、患者様の体内にまだ残っているがん病変、微小残存病変(MRD)による再発が課題となっています。
これは化学療法、手術、放射線療法では根治治療はむずかしく、これに替わるものとして現在免疫療法が注目されています。小児外科部長の渕本教授は、慶應義塾大学と共同研究(「免疫チェックポイント蛋白を標的とした小児がん腫瘍幹細胞・微小転移細胞の増殖抑制」文部科学省研究補助金基盤B)を進め、ある程度の基礎的な結果を出しています。
直腸肛門奇形(中間位・高位鎖肛)
移行期・成人期のQOL向上に関する調査研究
厚生労働省(難治性疾患政策研究事業)田口班(研究リーダー)
小児嚢胞性肺疾患
呼吸器系先天異常疾患の診療体制構築とデータベースおよび診療ガイドラインに基づいた医療水準向上に関する研究
厚生労働省(難治性疾患政策研究事業)臼井班(分担研究者)
免疫療法
進行神経芽腫や進行肉腫に対しては、早期から転移している症例が多く、一定の効果が確認された後でも、患者様の体内にまだ残っているがん病変、微小残存病変(MRD)による再発が課題となっています。
これは化学療法、手術、放射線療法では根治治療はむずかしく、これに替わるものとして現在免疫療法が注目されています。小児外科部長の渕本教授は、慶應義塾大学と共同研究(「免疫チェックポイント蛋白を標的とした小児がん腫瘍幹細胞・微小転移細胞の増殖抑制」文部科学省研究補助金基盤B)を進め、ある程度の基礎的な結果を出しています。
手術実績
| 2020年 | 2021年 | 2022年 | |
|---|---|---|---|
| 全身麻酔手術件数合計(下記重複あり) | 19 | 84 | 131 |
| 鏡視下手術 | 10 | 37 | 48 |
| 新生児手術 | 0 | 0 | 0 |
| <体表・腹壁> | |||
| 腹腔鏡下鼠径ヘルニア手術 | 7 | 23 | 27 |
| 鼠径ヘルニア手術(Potts法) | 1 | 2 | 7 |
| 臍ヘルニア手術 | 1 | 7 | 12 |
| 白線ヘルニア | 0 | 1 | 3 |
| 臍帯ヘルニア手術 | 0 | 0 | 0 |
| 腹壁瘢痕ヘルニア手術 | 0 | 0 | 0 |
| 皮下膿瘍ドレナージ | 0 | 1 | 0 |
| <消化管> | |||
| 腹腔鏡下噴門形成術 | 0 | 0 | 1 |
| 胃瘻造設術 | 0 | 0 | 1 |
| 幽門筋切開術 | 0 | 0 | 1 |
| 腸回転異常症手術 | 0 | 0 | 0 |
| 腹腔鏡下腸回転異常症手術 | 0 | 1 | 0 |
| 腸管癒着症手術 | 0 | 0 | 0 |
| 消化管穿孔手術 | 0 | 0 | 0 |
| 人工肛門造設術 | 0 | 0 | 0 |
| 人工肛門閉鎖術 | 0 | 0 | 0 |
| 腹腔鏡下虫垂切除術 | 3 | 10 | 10 |
| 回盲部切除術 | 0 | 1 | 0 |
| ヒルシュスプルング病手術 | 0 | 0 | 0 |
| 鎖肛手術(中間位、高位) | 0 | 0 | 0 |
| 鎖肛手術(低位) | 0 | 0 | 0 |
| 直腸生検 | 0 | 1 | 6 |
| 審査腹腔鏡 | 1 | 1 | 1 |
| 上部消化管内視鏡 | 1 | 5 | 9 |
| 下部消化管内視鏡 | 0 | 2 | 11 |
| 内視鏡的ポリープ切除 | 1 | ||
| 内視鏡的異物除去 | 1 | ||
| 経皮的腹腔膿瘍ドレナージ | 1 | ||
| 腹腔鏡下汎発性腹膜炎手術 | 1 | ||
| その他の腹腔鏡手術 | 2 | ||
| <肝・胆・膵> | |||
| 腹腔鏡下胆嚢摘出術 | 0 | 1 | 0 |
| 胆道拡張症手術 | 0 | 0 | 1 |
| 胆道閉鎖症手術 | 0 | 0 | 0 |
| <頭頸部> | |||
| 梨状窩瘻根治術 | 0 | 0 | 0 |
| 正中頸嚢胞手術 | 0 | 0 | 0 |
| 側頸瘻手術 | 1 | 0 | 0 |
| 気管切開術 | 0 | 0 | 0 |
| 喉頭気管分離術 | 0 | 0 | 0 |
| 頸部リンパ節生検 | 0 | 2 | 0 |
| 気管形成術 | 0 | 1 | 0 |
| 舌小帯短縮症手術 | 0 | 1 | 0 |
| <胸郭・肺> | |||
| 胸腔鏡補助下漏斗胸手術(Nuss法) | 0 | 2 | 0 |
| Nuss bar 抜去術 | 0 | 0 | 0 |
| 漏斗胸手術(Ravitch法) | 0 | 0 | 0 |
| 肺葉切除術 | 0 | 0 | 0 |
| 胸腔鏡下ブラ切除術 | 0 | 0 | 0 |
| 横隔膜ヘルニア根治術 | 0 | 0 | 0 |
| 気管支鏡検査 | 1 | ||
| <泌尿生殖器> | |||
| 腎盂形成術 | 0 | 0 | 0 |
| 膀胱尿管新吻合術 | 0 | 0 | 0 |
| 膀胱鏡下膀胱尿管逆流症手術 | 0 | 0 | 0 |
| 膀胱鏡検査 | 0 | 0 | 6 |
| 膀胱鏡下尿道切開術 | 0 | 0 | 6 |
| 包茎手術 | 1 | 3 | 3 |
| 精巣固定術 | 4 | 20 | 22 |
| 腹腔鏡下精巣固定術 | 0 | 1 | 2 |
| 精巣捻転手術 | 0 | 0 | 0 |
| 腹腔鏡下精索静脈瘤根治術 | 0 | 0 | 1 |
| 尿道下裂修復術 | 0 | 0 | 2 |
| 外尿道口嚢腫切除術 | 0 | 0 | 4 |
| 尿膜管遺残症手術 | 0 | 1 | 0 |
| 腹腔鏡尿膜管遺残症手術 | 0 | 0 | 4 |
| <固形腫瘍> | |||
| 皮下良性腫瘍摘出術 | 0 | 1 | 4 |
| <その他> | |||
| 中心静脈カテーテル挿入術 | 0 | 1 | 0 |
| <外来小手術> | |||
| 縫合処置 | 1 | 1 | 0 |
| 切開排膿ドレナージ | 1 | 1 | 3 |
| 腸重積整復術 | 0 | 1 | 4 |
| 食道異物除去 | 0 | 1 | 0 |
外来医師担当表
| 曜日 | 午前 | 午後 |
|---|---|---|
| 月 | 渕本 | ― |
| 火 | ― | ― |
| 水 | 清水 | ― |
| 木 | 渕本 | ― |
| 金 | ― | 清水 瓜田(泌尿器外来/第1.3週) |
| 土 | 担当医 | ― |
【特記事項】
- ※予約・紹介患者様優先となりますので、予約外で受診ご希望の方は電話でのお問い合わせをお勧めします。
- ※担当医師が変更となる場合や診療を休止する場合があります。お電話でお問い合わせください。
- ※外来枠がない時間帯でも、受診を希望される場合はお電話でお問い合わせください。
TEL:0476-35-5600(代表)
ご予約・お問い合わせ
●一般診療のご予約・変更(予約センター)
TEL:0476-35-5576
(月曜日~土曜日 8:30~17:30 ※祝日は除く)
●その他のお問い合わせ
TEL:0476-35-5600(代表)