- ホーム
- 診療科・部門のご案内
- 血管外科 診療科・部門のご案内
血管外科
- 2022.08
- 「動脈瘤外来」開設のお知らせ
- 2025.08
- 「閉塞性動脈硬化症外来」開設のお知らせ
- 2024.02
- 国際医療福祉大学 医学部 血管外科学教室
血管外科部長ご挨拶

国際医療福祉大学 医学部教授
前田 剛志
循環器内科や心臓外科と連携し、あらゆる血管病を専門的に診療します。
診断から治療まで
当科では、心臓と脳血管を除く頸動脈から下肢動脈まで、広範囲な疾患を対象としており、診断から治療まで一貫したチーム医療をご提供します。
血管病の患者様は高血圧や糖尿病、心臓病や透析が必要となる腎障害を持つことが多いため、循環器内科や心臓外科をはじめとする各科と連携して、包括的に診療します。
外科手術と血管内治療の融合
血管病の治療には、開胸や開腹のような従来の外科手術から、局所麻酔下でバルーンやステントで病変を治療する患者様の負担の少ない低侵襲な血管内治療まで、さまざまあります。
私たちは十分なインフォームドコンセントを行い、それぞれの患者様に適した治療を選択し、安全で質の高い治療を実施します。また、それらの治療を合わせたハイブリッド手術も積極的に行います。
個々の患者様にあわせた治療
血管の大きさや長さは個人によって異なります。また病態(狭い・詰まっている・膨らんでいる)も個人差があるため、お一人おひとり治療法も変わります。そのため患者様の併存症なども考慮してオーダーメイドの医療をご提供します。
おなかを触るとドクドクする、足が痛い、冷たい、浮腫むなど何か心配なことがあれば遠慮なくご相談ください。
主な対象疾患
胸部大動脈瘤、 胸腹部大動脈瘤、 腹部大動脈瘤、急性B型大動脈解離、 慢性解離性大動脈瘤、 末梢動脈瘤、内臓動脈瘤、 頸動脈狭窄症、 腎動脈狭窄症、下肢閉塞性動脈硬化症、 深部静脈血栓症、 下肢静脈瘤
特長
血管内治療に使用するステントグラフトは、患者様の血管の状態にあわせて個別に選択し決定します。お一人おひとりの解剖や病態にあわせたオーダーメイドの治療をご提案します。
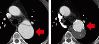
大動脈瘤
血管内治療であるステントグラフト(金属で覆われた人工血管)をはじめとする低侵襲治療の経験豊かな医師が治療にあたります。
胸部大動脈瘤
心臓外科と連携し、全身状態や基礎疾患を加味しながら個々の患者様にとって最良と判断する治療をご提供します。

胸部大動脈瘤に対するハイブリッド手術
血管内治療(赤): 動脈瘤のある血管にステントグラフトを設置。動脈瘤への血流を遮断
外科手術(青): 閉塞した血管へバイパス(迂回路)をつくる。

デブランチ胸部ステントグラフト術
赤印:バイパス
黄印:ステントグラフト
腹部大動脈瘤
ステントグラフトによる血管内治療と従来の外科手術である人工血管置換術の両方をご提供します。


内腸骨動脈温存ステントグラフトを
使用した腹部枝付きステントグラフト術
腹部大動脈瘤に対するステントグラフト術
脚の付け根から動脈にカテーテルを挿入。患者様の血管の形態に合うように選択したステントグラフトを設置し瘤への血流を遮断
大動脈解離
大動脈解離は血管が裂ける病気であり、多くは緊急の処置が必要となります。当科では大動脈解離のなかでも、上行大動脈に解離が及んでいないB型解離を扱います。ほとんどが降圧薬による内科的治療を行いますが、臓器虚血などを起こしている場合は緊急手術の適応となります。

慢性解離性大動脈瘤に対するステントグラフト術
瘤化を防ぐため、解離の原因となる裂け目にステントグラフトを挿入し裂け目を塞ぐ
末梢動脈
頸部から腹部、下肢動脈まで多岐にわたる病態に対して、低侵襲治療と外科手術、あるいはハイブリッド手術を行います。
下肢の血流が乏しいと、最終的に壊死してきます。足が冷たい・歩くとふくらはぎが痛いといった症状がある方は、早めに受診してください。

下肢閉塞性動脈硬化症に対するハイブリッド手術
血管内治療(赤): 狭窄した動脈にステントを挿入し、動脈を内側から押し広げる
外科手術(青): 閉塞した血管の血流を維持するため、人工血管を移植するバイパス術を行う

頸動脈狭窄症に対する頸動脈内膜摘除術
下肢静脈瘤
下肢の浮腫みや足のつりなどの症状は静脈瘤かもしれません。以前は外科治療だけでしたが、現在はレーザー治療や静脈塞栓術といった低侵襲治療が可能となりました。レーザー治療や静脈塞栓術では早期退院が可能です。



腹部内臓動脈瘤や急性動脈閉塞など
腹部内臓動脈瘤や足の動脈に血栓が詰まってしまう急性動脈閉塞にも対応しています。また、透析をされている方の血液透析アクセストラブルの治療も可能です。

脾動脈瘤に対するコイル塞栓術
動脈瘤にカテーテルでコイル(らせん状の金属)を詰め、血流をなくす。
最新の治療
ステントグラフトなどの医療機器は日々進歩しており、新しいデバイス(機器)が開発されています。そのため常に新しいものを取り入れ、安全かつ最新の治療を心がけています。


胸部大動脈瘤に対する開窓型ステントグラフト
手術実績
*当科は2020年7月からの開設です
※横にスクロールしてご覧いただけます。
| 手術詳細 | 2020 | 2021 | 2022 | 2023 | 2024 | 合計 |
|---|---|---|---|---|---|---|
| 胸部大動脈瘤(解離を含む) | 4 | 10 | 4 | 13 | 9 | 40 |
| 胸部ステントグラフト | 4 | 5 | 1 | 9 | 6 | |
| 開窓型ステントグラフト | 0 | 3 | 1 | 3 | 2 | |
| デブランチ胸部ステントグラフト | 0 | 1 | 0 | 1 | 1 | |
| デブランチのみ | 0 | 1 | 2 | 0 | 0 | |
| 胸腹部大動脈瘤(解離を含む) | 0 | 0 | 2 | 0 | 1 | 3 |
| 開胸開腹人工血管置換 | 0 | 0 | 1 | 0 | 0 | |
| ステントグラフト(枝付き含む) | 0 | 0 | 1 | 0 | 1 | |
| 腹部大動脈瘤 | 4 | 24 | 22 | 27 | 29 | 106 |
| 開腹人工血管置換術 | 0 | 2 | 5 | 3 | 5 | |
| 分枝再建人工血管置換術 | 0 | 0 | 0 | 1 | 0 | |
| 腹部ステントグラフト | 4 | 20 | 16 | 22 | 23 | |
| 枝付きステントグラフト | 0 | 2 | 1 | 1 | 1 | |
| 末梢動脈瘤 | 0 | 0 | 2 | 0 | 0 | 2 |
| 血行再建術 | 0 | 0 | 2 | 0 | 0 | |
| 血管内治療 | 0 | 0 | 0 | 0 | 0 | |
| 閉塞性動脈硬化症 | 11 | 37 | 55 | 53 | 78 | 234 |
| 血管内治療 | 7 | 15 | 36 | 39 | 53 | |
| 内膜摘除 | 1 | 6 | 4 | 2 | 10 | |
| バイパス術 | 0 | 5 | 2 | 3 | 8 | |
| Distal bypass | 0 | 1 | 3 | 2 | 1 | |
| 足趾切断など | 1 | 4 | 3 | 3 | 2 | |
| ハイブリッド手術 | 2 | 6 | 9 | 4 | 8 | |
| 頸動脈狭窄症 | 0 | 3 | 0 | 0 | 2 | 5 |
| 内膜剥離術 | 0 | 2 | 0 | 0 | 2 | |
| 頸動脈ステント | 0 | 0 | 0 | 0 | 0 | |
| 鎖骨下動脈ステント | 0 | 1 | 0 | 0 | 0 | |
| 内臓動脈瘤 | 0 | 3 | 2 | 0 | 4 | 9 |
| 開腹血行再建 | 0 | 3 | 1 | 0 | 0 | |
| 血管内治療 | 0 | 0 | 1 | 0 | 4 | |
| 腎血管性高血圧 | 0 | 1 | 2 | 0 | 2 | 5 |
| 開腹血行再建 | 0 | 1 | 1 | 0 | 0 | |
| 血管内治療 | 0 | 0 | 1 | 0 | 2 | |
| 深部静脈疾患 | 0 | 1 | 1 | 2 | 2 | 6 |
| 静脈ステントPTA | 0 | 1 | 1 | 2 | 2 | |
| バイパスなどを含むOpen repair | 0 | 0 | 0 | 0 | 0 | |
| 下肢静脈瘤 | 30 | 80 | 115 | 112 | 138 | 475 |
| レーザー焼灼術 | 28 | 77 | 97 | 95 | 114 | |
| 血管内塞栓術 | 0 | 1 | 14 | 11 | 16 | |
| ストリッピング術 | 1 | 1 | 0 | 4 | 2 | |
| その他 | 1 | 1 | 4 | 2 | 7 | |
| 慢性腎不全 | 0 | 5 | 30 | 84 | 61 | 180 |
| 内シャント造設 | 0 | 3 | 17 | 39 | 16 | |
| 人工血管シャント造設 | 0 | 1 | 2 | 4 | 2 | |
| 血栓除去・血管拡張術 | 0 | 1 | 11 | 41 | 31 | |
| 急性動脈閉塞 | 2 | 1 | 5 | 3 | 2 | 13 |
| 上肢 | 1 | 1 | 0 | 1 | 1 | |
| 下肢 | 1 | 0 | 5 | 2 | 1 | |
| その他 | 6 | 12 | 25 | 26 | 13 | 82 |
| 合計 | 57 | 177 | 265 | 320 | 341 | 1,160 |

外来医師担当表
| 曜日 | 午前 | 午後 |
|---|---|---|
| 月 | 前田 | 百川 (下肢静脈瘤外来) |
| 火 | 担当医 | ― |
| 水 | 担当医 | ― |
| 木 | ― | 百川 |
| 金 | 前田(動脈瘤・閉塞性動脈硬化症外来) | ― |
| 土 | ― | ― |
【特記事項】
- ※予約・紹介患者様優先となりますので、予約外で受診ご希望の方は電話でのお問い合わせをお勧めします。
- ※担当医師が変更となる場合や診療を休止する場合があります。お電話でお問い合わせください。
ご予約・お問い合わせ
●一般診療のご予約・変更(予約センター)
TEL:0476-35-5576
(月曜日~土曜日 8:30~17:30 ※祝日は除く)
●その他のお問い合わせ
TEL:0476-35-5600(代表)