- ホーム
- 診療科・部門のご案内
- 腫瘍内科 診療科・部門のご案内
腫瘍内科
教授(代表)ご挨拶

腫瘍内科部長
国際医療福祉大学 医学部 臨床腫瘍学教授(代表)
樋口 肇
当院には、4名のがん薬物療法専門医が在籍します。「薬物治療と緩和医療が両輪をなす心のあるがん診療」をモットーとして、先端の治療を提供いたします。
がん薬物療法の効果を得るためには、苦痛や症状(がんによる疼痛や治療の副作用など)をしっかりと緩和し、最良のコンディションで治療に臨むことが必要です。抗がん剤治療と緩和医療は「効果の向上」を共通の目的として車の両輪のように同時に行われるべきものです。
当院では、薬物療法と緩和医療それぞれの専門医が強力にタッグを組み、多くの医療スタッフが共通の目的をもって診療にあたっています。入院患者様と外来患者様の大半を共通のチームが把握している体制は当科の特色であり、質の高いチーム医療を実践しています。
がん診療は一人の医師がほぼすべての病状を統括する時代から多職種共同によるチーム医療を行う時代へと変化しています。医療に携わるすべての専門職の育成を担う国際医療福祉大学の附属病院としての強みが、当院のがん診療に生きています。
- がんと診断され今後の治療が心配な方 - ぜひ当科を受診ください
- 原発不明がん(がんの転移が見つかったが原発巣が見つからない)と診断されて、治療方針を相談したい方 - ぜひ当科を受診ください
- 希少がん(軟部肉腫、神経内分泌腫瘍、甲状腺がんなど)と診断され、治療方法(薬剤)が少ないと聞いて心配されている方 - ぜひ当科を受診ください
- がんが心配(腫瘍マーカーが高いと言われた、がんの家族歴がある、人間ドックなどの検査でがんの疑いがあるといわれた、など)で精密検査をご希望の方 - ぜひ当科を受診ください
我々スタッフが、全力を尽くします。
主な対象疾患
食道がん、胃がん、大腸がん、直腸がん、肝臓がん、膵臓がん、胆道がん(胆のうがん、胆管がん)、乳がん、卵巣がん、子宮がん、神経内分泌がん、肉腫、原発不明がん、他
すべての臓器の腫瘍性疾患を対象としています。
特長
全人的がん診療
高齢者や多様な内科系合併症を持つ患者様にも対応可能な「総合内科専門医」を基盤とした「がん薬物療法専門医」が、悪性腫瘍の標準治療から先進的治療まで、臓器横断的に病態に応じた最善の治療をご提供します。
特に消化器や乳腺腫瘍においては、「消化器病専門医」や「乳腺専門医」資格を持つ医師が対応します。
リハビリテーション科と連携し、高齢者総合機能評価に基づいた老年腫瘍診療にも力を入れます。国際医療福祉大学ゲノム医学研究所、がんゲノム中核拠点病院である慶應義塾大学病院と連携し、先端の治療・検査を提供します。
外来化学療法チーム
がん薬物療法専門医2名を含む腫瘍内科医師、がん化学療法看護認定看護師、がん性疼痛看護認定看護師や外来がん治療認定薬剤師などの資格を持つエキスパートによるチーム医療で、がん診療に取り組みます。
抗がん剤の副作用に対しては予防に力を入れ、特に冷却グローブ/ソックスの使用による末梢神経障害の予防、アロママッサージ・リラクゼーションによる倦怠感や食欲不振対策など、さまざまな支持療法によってQOL(生活の質)の維持をめざします。

外来化学療法室
抗がん剤治療用リクライニングチェアーユニット28床、治療用ベッド12床、合計40床で、アメニティとしてTVやDVDプレーヤーなどを備えています。

緩和医療
がん治療と緩和ケアは車の両輪のような関係で、病気によるストレス・疼痛・不安・不眠などの諸症状を緩和することが、治療成績の改善にも極めて重要です。当院には、緩和ケアに精通したスタッフ(医師、看護師、薬剤師、ソーシャルワーカー、臨床検査技師)による緩和ケアチームがあり、入院および外来でのがん緩和医療をご提供しています。緩和ケアチームと緊密に連携し、がん治療における心身のご負担の軽減をめざします。
膵腫瘍・膵のう胞専門外来
当科では進行がんの治療だけでなく、早期発見のための努力をしています。特に消化器系のがんに関しては、専門医が早期診断・検査にあたっており、CT、MRI、PET-CTなどの画像検査に加えて、上部消化管内視鏡検査、大腸内視鏡検査、内視鏡的逆行性胆管膵管造影(ERCP)、超音波内視鏡検査(EUS)を行います。
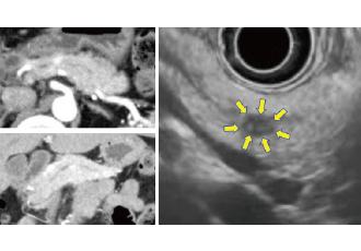
特に、膵がんの早期発見には特に力を入れており、膵腫瘍・膵のう胞専門外来を設置し、危険因子(糖尿病、がんの家族歴、膵のう胞など)のある患者様には積極的に超音波内視鏡による早期膵がんの検査をお勧めしています。

微小膵癌がEUSで描出される
腫瘍内科医とは
腫瘍内科医は、さまざまながん治療のうち「がん薬物療法(抗がん剤治療、分子標的薬、がん免疫療法を含む)」を主に担当します。欧米など海外では、がんの薬物治療は腫瘍内科で行うのが一般的ですが、日本ではまだ専門医が少なく(2020年5月時点で日本国内に1399名)、十分ではありません。
千葉県内には66名のがん薬物療法専門医がいますが、そのうち4名が当院に所属しています。腫瘍内科医は、薬物療法を行うだけでなく、診断、検査、治療方針の決定、治療効果の判断などあらゆる段階にかかわり、多職種共同チームで行われるがん診療のコンダクターとしての役割を担います。
日本人の2人に1人はがんにかかる時代です。がんになっても安心して治療を受けることができる社会のためには、腫瘍内科医はなくてはならない存在です。
外来医師担当表
| 曜日 | 午前 | 午後 |
|---|---|---|
| 月 |
樋口 菅原 萬納寺 |
― |
| 火 |
樋口 菅原 萬納寺 |
― |
| 水 | ― | ― |
| 木 |
緩和ケア(樋口) 萬納寺 |
― |
| 金 | ― | ― |
| 土 | 樋口 | ― |
【特記事項】
- ※予約・紹介患者様優先となりますので、予約外で受診ご希望の方は電話でのお問い合わせをお勧めします。
- ※担当医師が変更となる場合や診療を休止する場合があります。お電話でお問い合わせください。
ご予約・お問い合わせ
●一般診療のご予約・変更(予約センター)
TEL:0476-35-5576
(月曜日~土曜日 8:30~17:30 ※祝日は除く)
●その他のお問い合わせ
TEL:0476-35-5600(代表)