脳神経外科
悪性脳腫瘍(神経膠腫、悪性リンパ腫、転移性脳腫瘍など)
手術用ナビゲーション
最新のナビゲーションシステム(メドトロニクス社S7)が導入されました。これも用いて手術中に腫瘍のどこを摘出しているか、正常脳がどこにあるかがリアルタイムにわかります。


手術においては、ニューロナビデーションシステムの使用や神経機能モニタリング、5-ALA(商品名アラベル)による術中蛍光診断により、神経機能を温存しつつ、可及的に広範囲の腫瘍摘出を行っております。
術前MRI(表面画像)での腫瘍の固定
腫瘍と重要な周囲の血管、手足を動かす運動領との位置関係が明瞭となり、神経機能を温存する安全な手術が可能になります。

術前MRIでの腫瘍の固定:機能的(finger tapping)
患者さんに指(この症例では右第1指)を動かしてもらいながらMRIを撮影すると、指を動かす指令を出す大脳皮質(つまり運動領)が固定できます。右のMRIで赤くなってるところが運動領です。

術中神経機能モニタリング
腫瘍の部位に応じて、運動誘発電位、感覚誘発電位、視覚誘発電位、聴性脳幹反応、顔面神経モニタリングを行います。聴性脳幹反応、顔面神経モニタリングは特に聴神経腫瘍の手術において有用です。
例えば、右大脳の運動領といわれる部分に電極をおいて電気刺激をしますと、左の指が動きます。この動きを下記のような筋電図で記録します。脳腫瘍を摘出する際に、適宜運動領を電気刺激すると、筋電図が保たれていること、つまり正常な神経機能が保たれていることを確認することができます。

残存腫瘍のコントロールのために術中にカルムスチンウェハー(商品名ギリアデル)の留置も行っております。
悪性神経膠腫摘出術中にカルムスチンウェハー(商品名ギリアデル)の留置:これにより摘出腔周辺の残存腫瘍の死滅を図ります。

現在行っている術後の治療をお示しします。
導入療法
放射線治療+経口抗がん剤テモゾロミドをまず行います。現在の標準的治療です。これに、ベバシツマブを併用することもあります。
維持化学療法
テモゾロミド、ベバシツマブなどを用います。
病理学的診断
悪性神経膠腫、多形性神経膠芽腫の病理組織学的検査を行い、MGMT、IDH1などの解析を行い、それぞれの腫瘍に最も有効な化学療法を行っています。
交流電場腫瘍治療システム
2017年に、初発膠芽腫生存期間中央値を4~5ヶ月ほど延長すると最終報告があり、日本でも2018年から初発膠芽腫に保険診療が適応となりました。頭皮の上に電極パッドを貼り付けて、脳腫瘍に向けて交流電場を持続的に発生させ、脳腫瘍細胞の分裂を阻害する方法です。
良性脳腫瘍
脳腫瘍・頭蓋底腫瘍 専門外来
患者さんの神経機能の温存を特に重視し、安全な手術を行っています。悪性脳腫瘍の部分でもご紹介しましたように、このためには、ニューロナビデーションシステムの使用や神経機能モニタリングが不可欠です。当科は神経機能モニタリングの経験が豊富であり、患者さんの生活の質を保っています。いくつか典型的な症例をお示します。
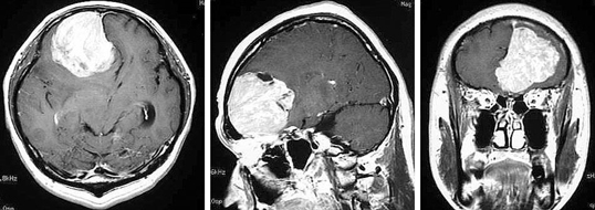
48歳男性。
いつも頭痛がしていた、最近仕事の能率が悪くなったという訴えがあります。MRIで脳腫瘍と診断しました、大きな髄膜腫といわれる主要です。髄膜腫はゆっくりと大きくなる良性脳腫瘍です。前頭部にできると認知症様症状を出すことが多いことが知られています。開頭術により全摘出することができました。

42歳女性。
認知症様症状(物忘れ、会話がとんちんかん)で発症されました。このため某精神科病院に入院されていましたが、MRIで脳腫瘍と診断されました。大きな髄膜腫です。ゆっくりと大きくなる良性脳腫瘍、前頭部にできると認知症様症状を出すことが多い。開頭術により全摘出することができました。

29歳代の女性。
過去に生じた右側頭葉の出血(原因は血管腫という血管の腫瘍)のため、左下同名四半盲があります。今回、左後頭葉に出血(原因は血管腫)をおこしました。左後頭葉の血管腫による出血が増大した場合、今度は右同名半盲が生じる可能性があります。視機能を維持して、手術による摘出術を施行する方針としました。術前にMRIで神経線維の走行(この症例では視放線、視覚路)を調べました。右のMRIの赤い線です。幸いなことに血管腫の前方に視放線、視覚路があることが分かり、血管腫を全摘出することができました。血管腫は、本症例のように多発することがあります。

ご予約・お問い合わせ
●一般診療のご予約・変更(予約センター)
TEL:0476-35-5576
(月曜日~土曜日 8:30~17:30 ※祝日は除く)
●その他のお問い合わせ
TEL:0476-35-5600(代表)