脳神経外科
下垂体腫瘍および近傍疾患:下垂体腫瘍、頭蓋咽頭腫など
神経内視鏡と手術技術の発展により、下垂体腫瘍をはじめ多くの頭蓋底腫瘍に対して、患者さんの負担の少ない方法で、鼻から手術(経鼻内視鏡手術)を行っています。下垂体腫瘍に関してはほとんどの症例で経鼻内視鏡手術が可能です。
当院では、手術の最初から最後まで内視鏡で行う、内視鏡単独経鼻手術を得意としています。鼻内を内視鏡で操作することで鼻への負担を最小限とし、また腫瘍摘出から摘出後の閉鎖まで内視鏡で行うことで広い範囲を目視で観察しながら手術ができるため安全な操作が行えます。そのため手術による死亡例もしくは意識障害や麻痺などの重篤な合併症例は皆無です。また、摘出後のトルコ鞍閉鎖に硬膜縫合という特殊な手技を行うことができるため、この手術の大きな合併症である髄液漏の危険性を0.4%に抑えることができています。
術後の下垂体機能を十分に把握し、適切なホルモン補充療法を行っています。成長ホルモン、甲状腺ホルモン、副腎皮質ホルモン、性腺ホルモン、抗利尿ホルモンなどを適正に保ち、患者さんの生活の質を十分に担保させていただいております。


鼻腔より4mmの細径内視鏡(オリンパス社製、把持器はエンドアーム)を挿入し、下垂体腫瘍や頭蓋底腫瘍の手術を行います。

下垂体腺腫の被膜外摘出を行い、腫瘍の摘出の向上と正常下垂体機能の温存を行っています。

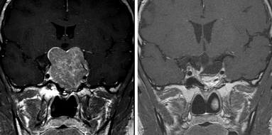
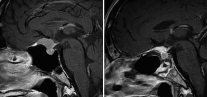
経鼻内視鏡手術の術前と術後

頭蓋底腫瘍(開頭)
脳腫瘍・頭蓋底腫瘍 専門外来
頭蓋底腫瘍(経鼻内視鏡手術)
頭蓋底腫瘍に関しては、頭蓋咽頭腫や鞍結節髄膜腫などが対象となります。腫瘍が頭蓋内の深いところにあるため、これまでは頭を大きく開け、脳や神経、血管を押し分けて摘出する開頭手術が必要でした。しかし、腫瘍の大きさによっては鼻から手術を行うことで体の負担を少なく摘出が可能です。さらに経鼻手術では腫瘍の下からアプローチするので、脳や神経、血管などを押し分ける必要がないため、より負担が少なくなります。手術の際には、安全性を高めるためにナビゲーションや神経モニタリング、血管ドップラーを使用します。術後は翌日から歩行が可能で、問題なければ術後7日間で退院可能です。この手術における髄液漏の危険性は下垂体腫瘍の手術より高く30%と言われていますが、当院では、大腿部から採取した筋膜をパッチワークのように縫合することで髄液漏を完全に抑えることに成功しています。



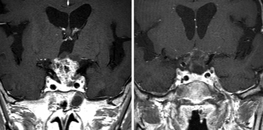
腫瘍摘出後:下垂体柄、視神経、内頚動脈が確認できる
ご予約・お問い合わせ
●一般診療のご予約・変更(予約センター)
TEL:0476-35-5576
(月曜日~土曜日 8:30~17:30 ※祝日は除く)
●その他のお問い合わせ
TEL:0476-35-5600(代表)